

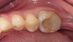
Il primo molare inferiore sinistro presenta un vecchio restauro in composito che comprende anche le cuspidi posteriori. Per ripristinare anatomia, funzione ed estetica ottimale, l’elemento viene ritrattato endodonticamente, ricostruito in composito con perno in fibra di vetro e protesizzato con un intarsio in disilicato di litio stratificato Ivoclar IPS e.max. La cementazione avviene con isolamento con diga di gomma e cementi duali in composito.
.webp?width=300&name=CC_Int_02%20(1).webp)
TOUCH

TOUCH

TOUCH

TOUCH

TOUCH

TOUCH
.webp?width=300&name=CC_Int_08%20(1).webp)
TOUCH

TOUCH