.jpg?width=300&name=CC_Tele_02%20(1).jpg)

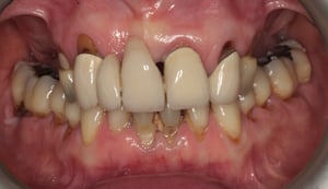
Paziente con edentulia parziale superiore. Gli elementi residui presentano un restauro fisso incongruo. I monconi vengono ritrattati e ricostruiti ed utilizzati quali supporto per una protesi totale rimovibile senza palato mediante delle cappe primarie in oro telescopiche frizionanti. L’utilizzo di una flangia in resina caratterizzata permette di ripristinare un’estetica ottimale.