.jpg?width=300&name=CC_Tot-Rim_02%20(1).jpg)

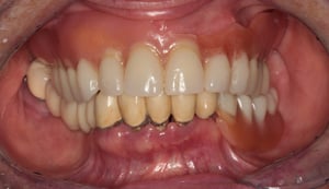
La paziente presenta vecchie protesi a supporto implantare nell’arcata superiore e mista a livello dell’arcata inferiore. Gli elementi residui non sono però recuperabili. I denti vengono quindi estratti. Mediante pianificazione computer-guidata vengono inseriti gli impianti nell’arcata inferiore. Le protesi definitive vengono attivate a distanza di due mesi di guarigione.