

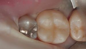
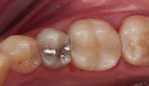
Otturazione in composito a livello di primo molare inferiore destro. Il restauro in amalgama di argento esistente presenta una frattura e viene pertanto sostituito. La rimozione del materiale metallico viene eseguita isolando il dente dal cavo orale mediante diga di gomma. Il dente viene come per ogni procedura sabbiato, mordenzato, trattato con primer ed adesivi ed infine otturato in materiale composito fotopolimerizzabile. La presenza di cuspidi intatte e di spessore sufficiente, conferisce una adeguata resistenza meccanica al restauro eseguito.
-1.jpg?width=300&name=CC_Cons2_02%20(1)-1.jpg)
TOUCH

TOUCH

TOUCH

TOUCH

TOUCH

TOUCH