Trasformiamo sorrisi ogni giorno, con competenza, tecnologia e attenzione personalizzata.
Ogni sorriso che trattiamo è unico, come le persone che si affidano a noi. In questa sezione trovi una selezione di casi clinici reali che mostrano il nostro approccio: diagnosi attenta, pianificazione digitale, tecniche aggiornate e risultati naturali. Dai piccoli interventi estetici alle riabilitazioni più complesse, ogni percorso è pensato per offrire benessere, funzionalità e armonia.
-
Tutti
-
Endodonzia
-
Medicina dentaria
-
Estetica
-
Faccette Dentali
-
Ricostruzioni estetiche
-
Medicina Dentaria
-
Protesi Fissa su Denti
-
Implantologia
-
Protesi Rimovibile su Impianti
-
Protesi Rimovibile su Denti
-
Protesi Fissa su Impianti

TOUCH
Ritrattamento endodontico al microscopio
Ritrattamento endodontico al microscopioScopri di più

TOUCH
Ritrattamento endodontico e corone in zirconia
Ritrattamento endodontico e corone in zirconiaScopri di più

TOUCH
Ricostruzioni estetiche incisivi superiori
Ricostruzioni estetiche incisivi superioriScopri di più

TOUCH
Faccette preparazione minimale su incisivi
Faccette preparazione minimale su incisiviScopri di più

TOUCH
Corona e Faccetta incisivi centrali E.MAX
Corona e Faccetta incisivi centrali E.MAXScopri di più

TOUCH
Intarsio overlay e.max e impronta ottica
Intarsio overlay e.max e impronta otticaScopri di più

TOUCH
Perio-overdenture con cappe in composito
Perio-overdenture con cappe in compositoScopri di più
-1.jpg?width=300&name=CC_Cons2_02%20(1)-1.jpg)
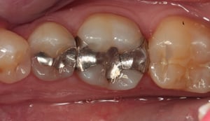
TOUCH
Rimozione otturazione in amalgama d’argento
Rimozione otturazione in amalgama d’argentoScopri di più












